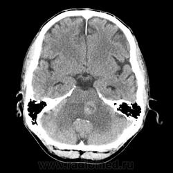
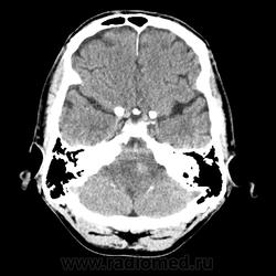
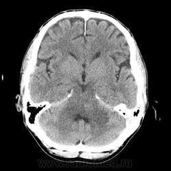
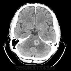
КТ ГМ+C Субтенториальное объемное образование в стволе головного мозга (мост)

Пол пациента: 
Область исследования: 
Методы исследования: 

Мужчина 46 лет. Поступил с подозрением на ОНМК. Жалобы на шаткую походку, снижение зрения. Мост содержит ядра ЧМН (V, VI, VII, VIII). Для невриномы и менингиомы не  характерна локализация. Узловое, экспансивно растущее образование, интенсивно накапливает КВ. DDs: Кавернозная ангиома, mts.

Nativ

Contrast

  • https://radiomed.ru/sites/default/files/styles/case_slider_image/public/user/19376/img-0001-00021n.jpg?itok=lloWfztu
  • https://radiomed.ru/sites/default/files/styles/case_slider_image/public/user/19376/img-0001-00022n.jpg?itok=5k6gm_rz
  • https://radiomed.ru/sites/default/files/styles/case_slider_image/public/user/19376/img-0001-000n23.jpg?itok=1wowtiSX
  • https://radiomed.ru/sites/default/files/styles/case_slider_image/public/user/19376/img-0001-00024n.jpg?itok=kjEZKFGG
  • https://radiomed.ru/sites/default/files/styles/case_slider_image/public/user/19376/img-0001-00020_0.jpg?itok=-95nlAvK
  • https://radiomed.ru/sites/default/files/styles/case_slider_image/public/user/19376/img-0001-00021_0.jpg?itok=IPrNNAcF
  • https://radiomed.ru/sites/default/files/styles/case_slider_image/public/user/19376/img-0001-00022.jpg?itok=fl0-Ar4E
  • https://radiomed.ru/sites/default/files/styles/case_slider_image/public/user/19376/img-0001-00023.jpg?itok=8F6406ka
ID:38812
koriatus аватар
Не на сайте
Был на сайте: 3 года 1 месяц назад
Зарегистрирован: 14.06.2010 - 01:49
Публикации: 452

Кажется кавернома. Для такого мтс хотелось хоть минимальеого отека. Но кто знает. На мрт.

Tatarin аватар
Не на сайте
Был на сайте: 7 лет 11 месяцев назад
Зарегистрирован: 06.12.2013 - 15:41
Публикации: 653

koriatus wrote:
Кажется кавернома. Для такого мтс хотелось хоть минимальеого отека. Но кто знает. На мрт.

Ну да, перифокального отека нет, лишь IV желудочек компремирован. МРТ точно рассудит.

Евгений Второй аватар
Не на сайте
Был на сайте: 3 недели 21 час назад
Зарегистрирован: 13.09.2011 - 22:00
Публикации: 1772

Кавернома контраст накапливает?

Евгений Второй аватар
Не на сайте
Был на сайте: 3 недели 21 час назад
Зарегистрирован: 13.09.2011 - 22:00
Публикации: 1772

А отёка точно нет?

алкс аватар
Не на сайте
Был на сайте: 10 лет 1 месяц назад
Зарегистрирован: 24.10.2012 - 22:55
Публикации: 2915

Евгений Второй wrote:
Кавернома контраст накапливает?

smiley! Менингиома ессно.

Tatarin аватар
Не на сайте
Был на сайте: 7 лет 11 месяцев назад
Зарегистрирован: 06.12.2013 - 15:41
Публикации: 653

Евгений Второй wrote:
Кавернома контраст накапливает?

Да, а контраст то не должна копить, а в случае хронической гематомы только по перифирии.

Tatarin аватар
Не на сайте
Был на сайте: 7 лет 11 месяцев назад
Зарегистрирован: 06.12.2013 - 15:41
Публикации: 653

Евгений Второй wrote:
А отёка точно нет?

Да как то не выражен, может незначительный, IV желудочек не резко  деформирован и сужен.

Tatarin аватар
Не на сайте
Был на сайте: 7 лет 11 месяцев назад
Зарегистрирован: 06.12.2013 - 15:41
Публикации: 653

алкс wrote:

Евгений Второй wrote:
Кавернома контраст накапливает?

smiley! Менингиома ессно.

А где здесь мозговая оболочка? Опухоль то внутримозговая. Менинготелиальная эктопированная клетка?

nnemo аватар
Не на сайте
Был на сайте: 11 лет 2 месяцев назад
Зарегистрирован: 13.09.2011 - 18:32
Публикации: 561

Евгений Второй wrote:
А отёка точно нет?

По-моему отека предостаточно.

мост и левая средняя мозжечковая ножка гипо-, цистерн ЗЧЯ вообще не видно...

Tatarin аватар
Не на сайте
Был на сайте: 7 лет 11 месяцев назад
Зарегистрирован: 06.12.2013 - 15:41
Публикации: 653

koriatus wrote:
Кажется кавернома. Для такого мтс хотелось хоть минимальеого отека. Но кто знает. На мрт.

Отека то может  и не быть, а вот границы у этой опухоли довольно таки четкие для mts, хотя... будем искать или исключать основную опухоль.

Приложения: 
bezymyannyy.jpgmeta.jpg
Nela аватар
Не на сайте
Был на сайте: 6 лет 1 месяц назад
Зарегистрирован: 12.05.2009 - 20:43
Публикации: 1847

Tatarin wrote:

koriatus wrote:
Кажется кавернома. Для такого мтс хотелось хоть минимальеого отека. Но кто знает. На мрт.

Отека то может  и не быть, а вот границы у этой опухоли довольно таки четкие для mts, хотя... будем искать или исключать основную опухоль.

Не поняла, какое отношение эта картинка имеет к теме. Мне кажется очень похоже на каверному (Ваш случай).

Tatarin аватар
Не на сайте
Был на сайте: 7 лет 11 месяцев назад
Зарегистрирован: 06.12.2013 - 15:41
Публикации: 653

Nela wrote:
Tatarin wrote:

koriatus wrote:
Кажется кавернома. Для такого мтс хотелось хоть минимальеого отека. Но кто знает. На мрт.

Отека то может  и не быть, а вот границы у этой опухоли довольно таки четкие для mts, хотя... будем искать или исключать основную опухоль.

Не поняла, какое отношение эта картинка имеет к теме. Мне кажется очень похоже на каверному (Ваш случай).

Картинка для koriatus по поводу возможности mts и  отсутствия отека. А в плане КА не совсем я уверен, терзают смутные сомнения,  на МРТ, конечно, сомнения бы отпали.

Tatarin аватар
Не на сайте
Был на сайте: 7 лет 11 месяцев назад
Зарегистрирован: 06.12.2013 - 15:41
Публикации: 653

первый скриншот из книги Трофимовой Т.Н. "Нейрорадиология", второй из книги Корниенко, Пронин "Диагностическая нейрорадиология", третий те же авторы " МРТ в нейрохирургии".

 У Трофимовой " Можно наблюдать КУ" очень размыто написано,  непонятно какое КУ слабо выраженное или интенсивное, гомогеное или гетерогенное? Больше Пронину и Корниенко доверяю, а они утверждают, что либо КУ не определяется, либо слабо выраженный характер, даже точечный.  А в данном случае я не могу сказать, что контраст копит слабо...хорошо так копит, потому и подумал больше в сторону mts. В любом случае  МРТ я порекомендовал.

Приложения: 
scanimage152.jpg50090.jpgbezymyannyy.jpg3_.jpgbezymyannyy.jpg2_.jpg