Наблюдение в динамике 1

Пол пациента: 
Методы исследования: 

Уважаемые коллеги!

Мы ранее "выставляли" изображения этого пациента, с просьбой высказать точку зрения. Пациент был направлен на исследование участковым терапевтом, речь шла о "правосторонней пневмонии?"

Изображения, выставленные ранее.

ИзображениеИзображениеИзображение

ИзображениеИзображениеИзображение

Пациент, фактически без диагноза (была высказана точна зрения о наличии осумкованного плеврита?, пнемонита?, ателектаза?) был направлен на консультацию к пульмонологу. На консультацию пациент не поехал "по семейным обстоятельствам", и сегодня был направлен на повторное исследование в рентгеновский кабинет.

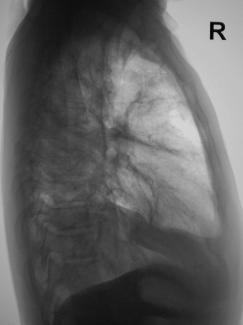
На рентгенограммах, произведенных в прямой и правой боковой проекциях, получена такая скиалогическая картина.

ИзображениеИзображениеИзображение

ИзображениеИзображение

Возникла мысть по поводу осумкованного паракостального и интерлобарного плеврита. Решено провести линейную томографию в прямой проекции.

ИзображениеИзображениеИзображение

ИзображениеИзображениеИзображение

После проведенного исследования мысль - об осумкованном паракостальном и  интерлобарном плеврите. Ваше мнение коллеги?

Андрей Юрьевич аватар
Не на сайте
Был на сайте: 2 дня 13 часов назад
Зарегистрирован: 16.11.2008 - 22:16
Публикации: 18098

Все стало хуже, а оттого понятней. По первой серии писал: "Если больной острый, да к тому же южанин, я бы, акцентировав внимание на плевральный компонент (отграниченный плевральный выпот?), отправил на консультацию в ПТД. У такого пациента и эмпиема может быть.." Теперь в ПТД посылать уже не надо, а сразу пунктировать и лечить, желательно в торакальном отделении.

Андрей Юрьевич

Катенёв Валентин Львович аватар
Не на сайте
Был на сайте: 7 лет 2 недели назад
Зарегистрирован: 22.03.2008 - 22:15
Публикации: 54876

Спасибо за высказанное мнение Андрей Юрьевич.

интерн аватар
Не на сайте
Был на сайте: 14 лет 3 месяцев назад
Зарегистрирован: 14.05.2009 - 14:40
Публикации: 6

Добрый день.

При динамическом рентгеновском наблюдении определяется изменение конфигурации тенеобразования в нижне-наружних отделах справа, сливающиеся с куполом диафрагмы. Но на этом фоне обращает внимание сближение ребер правой половины грудной клетки, а также сохраняется впечатление объемного уменьшения правого легкого. При этом тень средостения частично смещена влево, а просвет трахеи занимает срединное положение. Складывается впечатление сохранение просветов бронхов. Все это заставляет думать о длительном течении гидроторакса справа, вероятно осложненного воспалительным процессом,  с формированием выраженных фиброзных изменений, вызывающих уменьшение объема правого легкого.

Андрей Юрьевич аватар
Не на сайте
Был на сайте: 2 дня 13 часов назад
Зарегистрирован: 16.11.2008 - 22:16
Публикации: 18098

С удовольствием (и благожелательно) побеседую с интерном. Ведь в этом и есть процесс ученичества, не так ли?

1. Полное смешение стилей в описании: начинаете скиалогией (тенеобразование), заканчиваете патанатомией (сохраняется впечатление объемного уменьшения правого легкого). Стиль должен быть один. Можете использовать скиалогию в описании, патанатомию в заключении. И еще, слово "впечатление" в протоколе неуместно.

2. ***При динамическом рентгеновском наблюдении определяется изменение конфигурации тенеобразования ***. В чем оно заключается: увеличении (нарастании процесса) или уменьшении (обратном развитии)?

3. ***тень средостения частично смещена влево, а просвет трахеи занимает срединное положение*** . Опять смешение стилей: тень (скиалогия) средостения и просвет (анатомия) трахеи. К тому же, трахея входит в средостение, и если средостение частично (это как?) смещено, почему трахея осталась на месте? И почему *просвет*, Выже оцениваете не проходимость, а расположение трахеи?

4. ***Складывается впечатление сохранение просветов бронхов*** Так писать можно только описывая томограммы. Вы могли бы написать: признаков обтурации бронхов не выявлено.

5.  ***Все это заставляет думать о ***. Кто Вас заставляет? А если добавить впечатления, то это не протокол, а мемуары курсистки какие-тоУлыбается.

6. ***гидроторакса справа, вероятно осложненного воспалительным процессом***. Т.е. вначале гидроторакс был НЕ воспалительный (тогда какой?), а потом осложнился воспалительным (тоже каким?) процессом?

Это по оформлению.

Теперь по сути: отмечаемое Вами сужение межреберных промежутков, может быть обусловлено непроизвольным уменьшении экскурсии дыхательных движений. вследствие сильных болей,  что часто бывает при плевритах.

Надеюсь, Вы не обиделись. Где еще учится, как не в Интернете :).

Андрей Юрьевич

интерн аватар
Не на сайте
Был на сайте: 14 лет 3 месяцев назад
Зарегистрирован: 14.05.2009 - 14:40
Публикации: 6

Спасибо, за проявленное внимание и отеческую заботу. Но моё сообщение не носило характер описания рентгенограмм, а лишь выражало личное мнение. Учитывая отсутствие полной клинической картины (жалоб пациента, анамнеза, результатов клинических исследований), и наличие только рентгенологическорй картины, по поводу характера выпота догадки можно строить любые, но суть - наличие гидроторакса не меняет.