You are here

Макрокальцинаты в редуцированных млечных протоках.

Пол пациента: 
Тип патологии: 
Область исследования: 
Методы исследования: 

Название случая. «Макрокальцинаты в редуцированных млечных протоках».

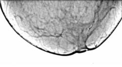
Пациентка. К., 63 года. Направлена на профилактическую маммографию. Клиника – жалоб не предъявляет. Из анамнеза выяснено, что в «молодости» болела маститом.Цифровое стандартное маммографическое профилактическое исследование (проведено на цифровом маммографе МАДИС).

Протокол рентгенологического исследования (кратко). На снимке в прямой проекции (1) общая скиалогическая картина инволютивной молочной железы, с хорошо прослеживающимися на фоне жировой ткани соединительнотканными компонентами стромы, отдельными очаговыми уплотнениями паренхимы железы. В верхнем наружном квадранте прослеживается цепочка макрокальцинатов различной величины и формы, по расположению, напоминающая ход млечного протока, что хорошо видно также на снимке в боковой проекции (2). В верхнем внутреннем квадранте железы, а также ретроареолярно в передних отделах молочной железы определяются отдельные макрокальцинаты. На боковом снимке (2), кальцинаты, локализующиеся в верхнем медиальном квадранте группируются с образованием цепочки. «Навигатором» выделена цепочка кальцинатов, локализующаяся в верхнем наружном квадранте. При цифровой обработке в условиях «фактор» вокруг кальцинатов появляется, так называемый, «поясок безопасности».

Заключение: Инволютивная молочная железа с наличием макрокальцинатов в редуцированных млечных протоках.

Данные предоставил Катенёв Валентин Львович, г. Бирюч Белгородской области. МУЗ «Красногвардейская центральная районная больница», зав. рентгенологическим отделением.


1. Снимок в прямой проекции
1. Снимок в прямой проекции
2. Снимок в боковой проекции
2. Снимок в боковой проекции
3. Цифровая обработка
3. Цифровая обработка
4. Цифровая обработка
4. Цифровая обработка
5. Цифровая обработка
5. Цифровая обработка