Назван по имени венгерского патоморфолога J. Balo, который в 1928 году описал заболевание студентки юридического факультета с необычно быстрым фатальным течением: оно началась с афазии и правосторонней гемиплегии, а затем присоединился ретробульбарный неврит зрительных нервов, при этом состав цереброспинальной жидкости (ЦСЖ) был нормальным. На вскрытии автор обнаружил множественное поражение белого вещества головного мозга, которое характеризовалось очагами различного диаметра размерами от «чечевицы» до «голубиного яйца», которые были окружены концентрическими кольцами, состоящими из истонченной и местами разрушенной миелиновой оболочки и неповрежденных осевых цилиндров. Автор впервые предположил, что описанная им патология является вариантом острого РС.
В последующем большинством исследователей высказанная Бало гипотеза признана правильной, а описанная болезнь получила его имя. Заболевание начинается у лиц молодого возраста, отличается острым началом после перенесенных инфекций или общего недомогания. Неврологические нарушения при КСБ неспецифичны и обычно характеризуются пирамидными, мозжечковыми симптомами или снижением зрения. Описаны случаи КСБ, начинающегося с гемианопсии и изолированной амнестической афазии. В ЦСЖ могут выявляться небольшой лимфоцитарный плеоцитоз, нормальный уровень белка и отсутствовать характерные для РС олигоклональные Ig G. В отличие от классического РС течение КСБ неуклонно прогрессирует и заканчивается летально через несколько месяцев или лет. Причины такого быстрого и неблагоприятного течения болезни пока недостаточно ясны. В качестве одной из причин D. Pohl и соавт. называют первичное инфицирование вирусом герпеса 6го типа, высокотропного для ЦНС, и в качестве подтверждения приводят случай 13летней девочки с КСБ, у которой отмечались высокий титр антител к вирусу герпеса 6го типа в ЦСЖ и его нормализация после лечения внутривенным иммуноглобулином.
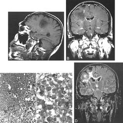
Патоморфологически КСБ отличается образованием преимущественно в белом веществе лобных долей обширных очагов демиелинизации, отдельные из которых окружены характерными кольцами, состоящими из зон полного или частичного разрушения миелина. При их микроскопии отмечаются выраженная дегенерация олигодендроцитов, сопровождающаяся их апоптозом, и мелкоклеточные васкулиты.
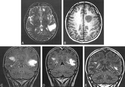
С внедрением в клиническую практику методов нейровизуализации головного мозга (в частности, магнитнорезонансной томографии) появилась возможность прижизненной диагностики КСБ. При проведении МРТ в Т2Wрежиме у больных с КСБ в сером и белом веществе головного мозга выявляются гиперинтенсивные очаги различного диаметра, часть из которых окружена гипоинтенсивными концентрическими кольцами. Взаимосвязь между РС и КСБ подтверждают данные C. Wang и соавт., которые при проведении МРТ в динамике у 7 больных с КСБ наблюдали появление новых очагов демиелинизации, характерных для обоих заболеваний.
Причина образования специфичных для этой патологии концентрических колец демиелинизации окончательно не ясна. По мнению D. Mahad et al., образование кольцевой демиелинизации отражает отличные от РС иммунологические механизмы, лежащие в основе формирования КСБ. Авторы выявили в кольцах нарушение содержания протеинов митохондриальной дыхательной цепи, в частности дефект цитохромоксидазы, что, по их мнению, указывает на ведущий механизм повреждения олигодендроцитов при КСБ в виде гипоксии.
Этого же мнения придерживаются C. Stadelmann и соавт.. На основании изучения результатов аутопсии 14 больных с КСБ авторы обнаружили, что все свежие концентрические кольца сопровождаются паттерном демиелинизации, который аналогичен повреждению тканей гипоксического типа в связи с высоким уровнем синтетазы оксида азота в макрофагах и микроглии. По краям активных очагов и в кольцах исследователи обнаружили разрушенный миелин, протеины которого (фактор 1альфа и тепловой шоковый протеин 70) вырабатываются олигодендроцитами и в меньшей степени - астроцитами и макрофагами. Исходя из нейропротективных эффектов данных протеинов, авторы предположили, что образование колец отражает ограничение дальнейшего разрушения миелина при КСБ.
G. Bruneteau и соавт. впервые использовали метод протонной магнитной спектроскопии при КСБ. В кольцах авторы выявили снижение пика Нацетиласпартата, повышение холинового пика, два широких лактатных пика и присутствие липидного пика 0,9 ррм. При аналогичном исследовании в динамике спустя 6 месяцев сохранялось снижение пика Нацетиласпартата, снизился холиновый пик, лактатные пики исчезли. Эти изменения, по мнению авторов, доказывают, что при КСБ наблюдаются нейрохимические изменения, характерные для воспаления, демиелинизации и выраженной аксональной дегенерации.
Несмотря на распространенное мнение о неблагоприятном прогнозе течения КСБ, в литературе встречаются единичные наблюдения с описанием улучшения состояния больных после назначения кортикостероидов.
Концентрический склероз, или болезнь Бало (энцефалит периаксиальный концентрический), является неуклонно прогрессирующим демиелинизирующим заболеванием лиц молодого возраста. Некоторые авторы рассматривают его, также как и болезнь Девика, не как отдельную нозологическую единицу, а как вариант РС, хотя в МКБ-10 они кодируются в самостоятельных подрубриках. Это демиелинизирующее заболевание клинически сходно с болезнью Шильдера (центральные параличи и парезы, гиперкинезы, эпилептические припадки, расстройства зрения, психические нарушения). Прижизненная диагностика возможна при помощи МРТ и биопсии мозга. Зоны демиелинизации и ремиелинизации расположены концентрически или хаотично, а большие очаги демиелинизации – преимущественно в белом веществе лобных долей, иногда с вовлечением серого вещества. Прогноз заболевания крайне неблагоприятен. В лечении используют активную иммуносупрессию, что делает прогноз не столь фатальным.
Назван по имени венгерского патоморфолога J. Balo, который в 1928 году описал заболевание студентки юридического факультета с необычно быстрым фатальным течением: оно началась с афазии и правосторонней гемиплегии, а затем присоединился ретробульбарный неврит зрительных нервов, при этом состав цереброспинальной жидкости (ЦСЖ) был нормальным. На вскрытии автор обнаружил множественное поражение белого вещества головного мозга, которое характеризовалось очагами различного диаметра размерами от «чечевицы» до «голубиного яйца», которые были окружены концентрическими кольцами, состоящими из истонченной и местами разрушенной миелиновой оболочки и неповрежденных осевых цилиндров. Автор впервые предположил, что описанная им патология является вариантом острого РС.
В последующем большинством исследователей высказанная Бало гипотеза признана правильной, а описанная болезнь получила его имя. Заболевание начинается у лиц молодого возраста, отличается острым началом после перенесенных инфекций или общего недомогания. Неврологические нарушения при КСБ неспецифичны и обычно характеризуются пирамидными, мозжечковыми симптомами или снижением зрения. Описаны случаи КСБ, начинающегося с гемианопсии и изолированной амнестической афазии. В ЦСЖ могут выявляться небольшой лимфоцитарный плеоцитоз, нормальный уровень белка и отсутствовать характерные для РС олигоклональные Ig G. В отличие от классического РС течение КСБ неуклонно прогрессирует и заканчивается летально через несколько месяцев или лет. Причины такого быстрого и неблагоприятного течения болезни пока недостаточно ясны. В качестве одной из причин D. Pohl и соавт. называют первичное инфицирование вирусом герпеса 6го типа, высокотропного для ЦНС, и в качестве подтверждения приводят случай 13летней девочки с КСБ, у которой отмечались высокий титр антител к вирусу герпеса 6го типа в ЦСЖ и его нормализация после лечения внутривенным иммуноглобулином.
Патоморфологически КСБ отличается образованием преимущественно в белом веществе лобных долей обширных очагов демиелинизации, отдельные из которых окружены характерными кольцами, состоящими из зон полного или частичного разрушения миелина. При их микроскопии отмечаются выраженная дегенерация олигодендроцитов, сопровождающаяся их апоптозом, и мелкоклеточные васкулиты.
С внедрением в клиническую практику методов нейровизуализации головного мозга (в частности, магнитнорезонансной томографии) появилась возможность прижизненной диагностики КСБ. При проведении МРТ в Т2Wрежиме у больных с КСБ в сером и белом веществе головного мозга выявляются гиперинтенсивные очаги различного диаметра, часть из которых окружена гипоинтенсивными концентрическими кольцами. Взаимосвязь между РС и КСБ подтверждают данные C. Wang и соавт., которые при проведении МРТ в динамике у 7 больных с КСБ наблюдали появление новых очагов демиелинизации, характерных для обоих заболеваний.
Причина образования специфичных для этой патологии концентрических колец демиелинизации окончательно не ясна. По мнению D. Mahad et al., образование кольцевой демиелинизации отражает отличные от РС иммунологические механизмы, лежащие в основе формирования КСБ. Авторы выявили в кольцах нарушение содержания протеинов митохондриальной дыхательной цепи, в частности дефект цитохромоксидазы, что, по их мнению, указывает на ведущий механизм повреждения олигодендроцитов при КСБ в виде гипоксии.
Этого же мнения придерживаются C. Stadelmann и соавт.. На основании изучения результатов аутопсии 14 больных с КСБ авторы обнаружили, что все свежие концентрические кольца сопровождаются паттерном демиелинизации, который аналогичен повреждению тканей гипоксического типа в связи с высоким уровнем синтетазы оксида азота в макрофагах и микроглии. По краям активных очагов и в кольцах исследователи обнаружили разрушенный миелин, протеины которого (фактор 1альфа и тепловой шоковый протеин 70) вырабатываются олигодендроцитами и в меньшей степени - астроцитами и макрофагами. Исходя из нейропротективных эффектов данных протеинов, авторы предположили, что образование колец отражает ограничение дальнейшего разрушения миелина при КСБ.
G. Bruneteau и соавт. впервые использовали метод протонной магнитной спектроскопии при КСБ. В кольцах авторы выявили снижение пика Нацетиласпартата, повышение холинового пика, два широких лактатных пика и присутствие липидного пика 0,9 ррм. При аналогичном исследовании в динамике спустя 6 месяцев сохранялось снижение пика Нацетиласпартата, снизился холиновый пик, лактатные пики исчезли. Эти изменения, по мнению авторов, доказывают, что при КСБ наблюдаются нейрохимические изменения, характерные для воспаления, демиелинизации и выраженной аксональной дегенерации.
Несмотря на распространенное мнение о неблагоприятном прогнозе течения КСБ, в литературе встречаются единичные наблюдения с описанием улучшения состояния больных после назначения кортикостероидов.
Концентрический склероз Бало
Концентрический склероз, или болезнь Бало (энцефалит периаксиальный концентрический), является неуклонно прогрессирующим демиелинизирующим заболеванием лиц молодого возраста. Некоторые авторы рассматривают его, также как и болезнь Девика, не как отдельную нозологическую единицу, а как вариант РС, хотя в МКБ-10 они кодируются в самостоятельных подрубриках. Это демиелинизирующее заболевание клинически сходно с болезнью Шильдера (центральные параличи и парезы, гиперкинезы, эпилептические припадки, расстройства зрения, психические нарушения). Прижизненная диагностика возможна при помощи МРТ и биопсии мозга. Зоны демиелинизации и ремиелинизации расположены концентрически или хаотично, а большие очаги демиелинизации – преимущественно в белом веществе лобных долей, иногда с вовлечением серого вещества. Прогноз заболевания крайне неблагоприятен. В лечении используют активную иммуносупрессию, что делает прогноз не столь фатальным.
Продолжение.
Бало концентрический склероз