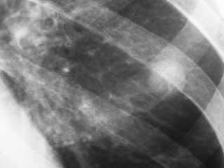
У пациента 45 лет, жалоб не предъявляет (не проходил флюорографию органов грудной полости в течение последних трёх лет), при проведении профилактической флюорографии, слева на уровне переднего фрагмента 5 ребра обнаружена «крупноочагово – фокусная» тень средней интенсивности с довольно ровными, четкими контурами – иллюстрация 1.
При цифровой обработке изображения и увеличения изображения (иллюстрации 2, 3) определяется неровность контуров указанной тени, с «тенденцией к полицикличности».

Создается впечатление некоторого усиления и обогащения легочного рисунка в окружающей легочной ткани.
Иллюстрация 4. На рентгенограмме органов грудной полости, произведенной в прямой стандартной проекции, дифференцируется некоторая неровность и нечеткость контуров описанной тени.
Иллюстрации 5, 6. Фрагменты рентгенограммы «с увеличением изображения». Фиксируется некоторая нечёткость контура. По медиальному контуру дифференцируется «вырезка Риглера». По латеральному контуру определяется «тяжистость» к костальной плевре.
Иллюстрация 7. Фрагмент рентгенограммы.
Выставлен диагноз периферического рака левого лёгкого с учетом теневой картины. От томографического исследования и консультации онколога пациент категорически отказался.