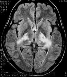
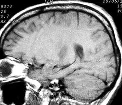
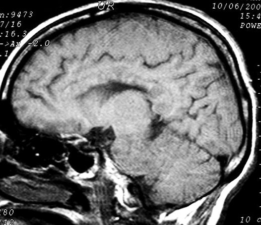
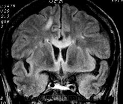
ГМ. Рассеянный склероз 2. +

Рассеянный склероз 

 

Отдел патологии, школа медицинских наук.
Государственного Университета Кампинас (UNICAMP).
Кампинас, Сан-Паулу, Бразилия.