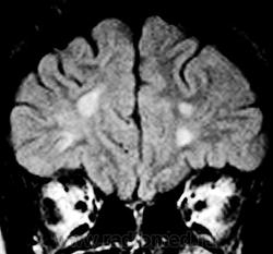
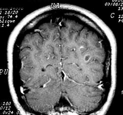
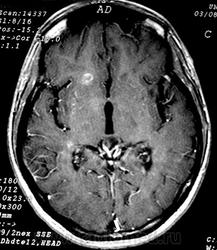
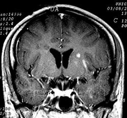
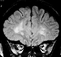
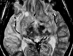
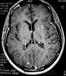
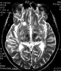
ГМ. Рассеянный склероз 3. +

Рассеянный склероз

 

 

Отдел патологии, школа медицинских наук.
Государственного Университета Кампинас (UNICAMP).
Кампинас, Сан-Паулу, Бразилия.